부평치과 앞니치료로 건강하고 아름다운 웃음을 되찾아 드리는

구강 질환 중 가장 흔히 발생하는 충치!

충치는 어린이에게 흔하게 발생하지만

성인에게도 충분히 생길 수 있는

문제입니다.

양치질을 소홀히 하거나

당이 많이 함유된 음식과 음료를

자주 섭취하는 등 생활습관의 문제로

인해 충치가 생기게 되는데요.

특히 앞니에 충치가 발생할 경우

잘 드러나기 때문에 타인에게 부정적인

인상을 줄 수 있어 이에 따라

앞니치료가 필요할 때가 많습니다.

 

앞니 충치의 범위가 넓지 않은

초기 충치에서는 레진을 사용할 수 있고

어느 정도 진행이 된 상황이라면

라미네이트나 크라운을 고려해 볼 수 있습니다.

그중 크라운은 치아 전체를 씌우는

것으로 손상이 심한 치아, 삭제가 많은

심한 충치 등 신경치료가 필요한 경우에

가장 적합한데요.

라미네이트와 마찬가지로 심미적으로

우수하다는 장점을 가지고 있어

환자분들께 지르코니아 크라운이

매우 선호되고 있는 추세입니다.

앞니는 말하거나 웃을 때 가장 쉽게

눈에 띄는 치아일뿐더러 충치가 심하게

진행되었을 때 방식이 무척 까다로워

발견한 즉시 부평치과를 방문하여

앞니치료를 받는 것을 추천드립니다.

 

24.10.18

오늘은 전치부 충치로 인해

부평치과 앞니치료를 진행하신

환자분을 소개해 드리도록 하겠습니다.

환자분께서는 앞니가 썩어서

보기가 좋지 않으시다며 치료를 위해

내원해 주셨는데요.

 

24.11.15

오래전, 이미 충치로 인해

사이사이 때워 놓은 재료들이 떨어지고

2차 우식도 진행이 되었음을

관찰할 수 있었습니다.

따라서 우식으로 인한 병소가 보이는

가장 큰 앞니 두 개만 신경치료를 진행하여

4개의 치아를 연결하는 보철을

진행하시기로 계획을 수립하였습니다.

 

24.11.08

앞니 두 개 신경치료를 마친 모습입니다.

근관치료라고도 불리는 신경치료는

내부의 신경, 혈관 및 기타 세포 조직을

제거한 후 그 공간에 다른 재료를 밀봉한 후

치아 전체에 크라운을 씌우는 방식으로 이루어져

기능을 유지시키는 시술인데요.

환자분들마다 신경조직의 위치나 모양,

치아의 위치에 따라 뿌리의 개수가 달라

방법이 달라지기 때문에 난이도가 높은

치료에 속합니다.

 

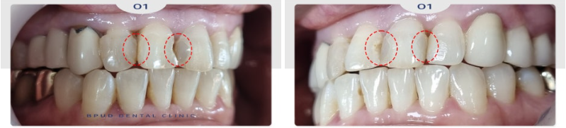
24.11.22

이후 조금 더 심미적인 목적으로

4개의 앞니를 지르코니아 크라운

보철로 완료하였습니다.

기존의 오른쪽 송곳니 PFM 보철도

파절로 보이긴 하였으나

환자분의 사정으로 인해

추후 진행 예정이십니다!

환자분께는 원하는 모양과 색상으로

보철이 완성되어 매우 만족해하셨으며

빨리 송곳니도 하고 싶으시다고

말씀해 주셨습니다.

 

24.10.18~24.11.22

부평치과 부평유디치과에서

앞니치료를 진행할 때에는

신속한 대처가 중요하며 방법에 따라

결과가 달라질 수 있습니다.

치료 후 관리 역시 결과의 성공 여부를

결정짓는 중요한 요소인데요.

손상 상태와 방법에 따라

개별적인 주의사항이 다를 수 있지만

일반적으로 치료 후에는

치아가 약해진 상태이니

앞니를 과도하게 사용하지 않도록

주의해야 하며 딱딱한 음식을 피하고

부드러운 음식을 섭취하는 것이 좋습니다.

또한, 치료 부위를 포함한

전반적인 구강 위생 관리를 철저히 해야 하고

특히 앞니 크라운을 시행한 경우

정기적인 치과 방문을 통해 상태를 점검하고

필요시 조정을 받는 것이 중요합니다.

앞니는 말하거나 웃을 때

가장 쉽게 눈에 띄는 치아일뿐더러

충치가 심하게 진행되었을 때

방식이 무척 까다롭습니다.

따라서 충치를 발견하였다면

즉시 앞니치료를 받아주는 것이

바람직한 방법인데요.

특히 심미적으로도 가장 중요한 치아인 만큼

색상이나 크기, 돌출 정도, 모양 등을

종합적으로 고려하여 치료할 수 있는

숙련도 높은 부평치과 부평유디치과 의료진을

선택하는 것이 좋습니다!

감사합니다~^^

*모든 증례 사진은 의료법 제23조, 제56조에 의거하여
환자분의 동의하에 업로드가 진행되었습니다.

*치료 사진은 모두 본원에서 치료한 환자분의 사진입니다.

*치료 사진은 모두 동일인의 사진이며,
동일 조건에서 촬영하였습니다.

*개인의 차이에 따라 시술 및 수술 후 부작용이 발생할 수 있으며,
의료진과 충분한 상담을 받으시기 바랍니다.

 

부평유디치과 네이버 바로가기

문의 전화

032-502-2822

네이버 예약

네이버 예약