부평치과 삐뚤빼뚤한 앞니 클리피씨 교정
치아교정 장치의 발전과 함께
방식도 다양화되어 최근 임상에서
활용도가 높아진 클리피씨 교정은
브라켓 내부의 슬라이딩 구조를 활용해
마찰을 줄이고 치아 이동 효율을 높인
교정 시스템으로 주목을 받고 있습니다.
교정 장치의 결찰 방식에 따라
교정력 전달과 치료 경과가 달라질 수 있는
만큼 장치 선택은 치료 계획에서
중요한 요소로 꼽히는데요.
이는 자가결찰 브라켓을 사용하는 방식으로
기존 교정 장치에서 사용하던 고무링 대신
브라켓 내 클리핑 도어로 와이어를 고정하고
이 구조는 브라켓과 와이어 사이의
마찰 저항을 줄여 치아 이동 시 전달되는
힘이 보다 일정하게 유지되도록 돕습니다.
또한, 마찰이 줄어들면 비교적 작은
교정력에도 치아가 반응하기 쉬워
교정 초기 배열 단계에서 효율적인
치아 이동을 기대할 수 있고
와이어 이탈 가능성이 낮아
교정력 유지 측면에서도 안정성을
높일 수 있습니다.

2023.09.21

2023.09.21
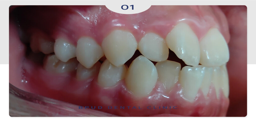
오늘은 부정교합으로 앞니가 많이
삐뚤빼뚤했던 학생 환자분이
부평치과에서 클리피씨 교정으로
해결한 사례를 소개해 드리려고 합니다.
환자분께서는 부모님이 부평치과 본원에
내원하시는 분으로 지인 분의 자녀분도
교정을 하고 추천을 받아 교정을 위해
내원해 주셨는데요.

2023.09.21

2023.09.21
발치를 하지 않고 전체적으로
클리피씨 교정을 진행하기로 하였고
추후 사랑니 발치를 진행하기로 하였습니다.
교정 진단 단계에서는 치아의 배열과 맞물림 상태,
턱뼈의 형태와 성장 양상 등을 전반적으로 검토하여
적절한 힘의 방향과 강도를 결정하게 되는데요.
클리피씨 교정은 힘을 비교적 고르게
전달하는 특성이 있어 과도한 압력을 줄이고
초기에 느껴질 수 있는 통증 부담을 덜어주는 데
긍정적인 영향을 줄 수 있습니다.
또한, 치아의 이동은 작은 변화들이
지속적으로 반복되는 과정이기 때문에
브라켓의 구조적인 안정성은 치료 기간 전반에
걸쳐 중요한 역할을 하게 됩니다.

2024.03.23

2025.04.18
교정 중간 중간 충치치료도 함께
진행하셨는데요.
부평치과의 클리피씨 교정은
구강 청결 관리 측면에서도
자기결찰 장치의 구조적 특징이
영향을 줄 수 있습니다.
고무링이 사용되지 않기 때문에
음식물이나 치태가 쌓이기 쉬운 부분이
비교적 줄어들어 위생 관리가
한층 수월해지는 장점이 있습니다.
이는 교정 치료 기간 동안
충치나 잇몸 염증이 발생할 가능성을 낮추는 데
긍정적인 요소로 작용할 수 있으나
장치가 치아 표면에 부착되는 형태인 만큼,
교정 전용 칫솔과 치간솔을 활용한 관리와
함께 정기적인 스케일링은 반드시 지켜야 할
중요한 관리 방법으로 강조됩니다.

2025.01.25
다만 모든 환자에게 같은 결과를
기대하기는 어려워 치아 배열의 불균형 정도나
턱뼈의 형태, 발치 여부, 교합 간섭 등
개인마다 다른 조건에 따라 치료 방법과
예후는 달라질 수 있는데요.
자기결찰 브라켓이 지닌 마찰 감소 효과
또한 모든 교정 상황에 동일하게 적용되는 것은
아니며 치아의 회전이 크거나 복합적인 이동이
요구되는 경우에는 다른 교정 방식과
함께 진행해야 할 수도 있습니다.
교정 치료가 진행되는 동안에는
정기적으로 내원하여 와이어를 교체하고
장치를 점검하며, 교합 상태를 확인하는
과정이 필요합니다.
마찰 저항이 낮은 구조라고 하더라도
치료 흐름에 맞춰 교정력을 조절하는
단계는 필수적이고 비교적 약한 힘으로
치아가 이동하는 특성이 있는 만큼
장치의 상태와 치아 주변 조직의 반응을
꼼꼼히 살피는 것이 안정적인 치료 결과를 위해
중요한 관리 요소로 여겨집니다.

2025.08.04

2025.08.04

2025.08.04
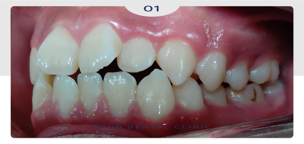
치료의 마무리까지 18개월이 걸렸으며
생각보다 빠른 시간 내에 교정이 잘 마무리되어
만족해하셨습니다.
클리피씨 교정은 다양한 유형의
부정교합에 활용될 수 있지만
치아교정은 시간과 비용이 함께 필요한 치료인 만큼
단순히 장치의 종류만을 기준으로 결정하기보다는
개인의 치아 배열 상태와 잇몸 건강,
턱관절의 기능 등을 종합적으로 반영한 정밀한 진단과
맞춤형 치료 계획이 중요합니다.
따라서 충분한 상담을 통해 전문의와 함께
신중하게 방향을 설정하는 과정이 필요합니다.

2023.09.21

2025.08.04
부평치과 클리피씨 교정은 치료 과정에서
발생하는 마찰을 줄여 교정력 전달의 효율을 높였다는
점에서 기능적인 이점을 지니지만
교정 치료의 핵심은 장치 자체보다는
환자의 구강 구조와 교합 상태를
반영한 치료 계획에 있습니다.
치아 배열 형태와 성장 시기, 생활 습관 등을
종합적으로 고려한 후 적절한 장치를 선택하고
체계적으로 관리하는 과정이 교정 치료의
안정성과 예측 가능성을 높이는 데 중요한 요소로 작용합니다.
치아교정은 시간과 비용이 함께
소요되는 치료이기 때문에
단순히 장치의 종류만을 기준으로
선택하기보다는 치료 전반을 고려한
신중한 접근이 필요합니다.
클리피씨 교정은 구조적인 특징과
환자 편의성 측면에서 다양한 장점을 지니고 있지만
이를 제대로 활용하기 위해서는
숙련된 임상의의 정확한 진단과
꾸준한 관리가 병행되어야 합니다.
감사합니다!
*모든 증례 사진은 의료법 제23조, 제 56조에 의거하여 환자분의 동의 하에 업로드가 진행되었습니다.
*치료 사진은 모두 본원에서 치료한 환자분의 사진입니다.
*치료 사진은 모두 동일인의 사진이며, 동일조건에서 촬영하였습니다.
*개인의 차이에 따라 시술 및 수술 후 부작용이 발생할 수 있으며, 의료진과 충분한 상담을 받으시기 바랍니다.