부평전체임플란트 오랜 기간 무치악이셨던 환자분 전체 임플란트 수복
치아 상실이 여러 개 이상으로 진행되거나
위, 아래 전체에 걸쳐 기능 저하가
발생한 경우 부평전체임플란트는
저작 기능과 구강 구조를 동시에 회복하기 위한
치료 방법으로 고려됩니다.
단일 치아를 대체하는 임플란트와 달리
전체임플란트는 교합의 균형과
턱관절의 움직임, 잇몸과 잔존 골의 상태까지
종합적으로 검토해야 한다는 점에서
접근 방식이 다른데요.
치료의 범위가 넓은 만큼 사전 진단과
계획 단계에서의 판단이 결과에 큰 영향을
미치게 됩니다.
치료 과정은 진단과 계획, 식립, 보철 제작의
단계로 진행되며 각 단계마다 점검이 이루어져
치료 범위가 넓고 복합적인 만큼 단기간의 결과보다는
장기적인 사용을 전제로 한 계획이 중요합니다.
개개인의 구강 구조와 생활 습관을 반영한
치료 접근이 이루어질 때 기능 회복과
안정적인 유지가 가능합니다.

2024.11.07

2024.11.18
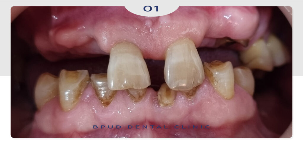
오늘은 오랜 기간 거의 무치악 상태로
생활하시다가 위, 아래 부평전체임플란트를
진행하신 환자분을 소개해 드리려고 합니다.
환자분께서는 지인 분의 소개로 내원해 주셨는데
사진에서 보는 것과 같이 전반적으로 치아를
상실하신 상태였고 더불어 남아 있는 치아마저
예후가 좋지 않아 발치가 필요한 상황이었는데요.
따라서 치아 상실 부위와 예후가 불량한 치아들을
발치한 후 임플란트 식립과 뼈이식을 진행하기로
계획하였습니다.
더불어 왼쪽 위 어금니의 경우에는
살려쓸 수는 있지만 많이 정출되어 있어
신경치료 후 크라운 수복 계획을 수립하였습니다.

2024.11.18
환자분께서 자주 내원이 어려우셨던 상황을
고려하여 하루에 위, 아래 16개 임플란트를
식립하였는데요.
다만 환자분과 같은 풀케이스는
단일 임플란트 식립에 비해
난이도가 높은 치료로 고혈압이나 당뇨 등
만성질환이 있는 분들의 경우
수술 전 전신 건강 상태에 대한
충분한 확인이 필요한데요.
특히 고령 환자분일수록 통증이나 출혈,
감염 등에 대한 관리가 중요하기 때문에
정밀 검진을 통해 개인의 구강 상태와
전신 건강을 종합적으로 살펴본 뒤
치료 방향을 정하고 시술 이후에도
정기적인 관리가 이어져야 합니다.

2025.09.30
임플란트와 잇몸뼈가 충분히 단단하게
융합될 수 있는 기간을 기다려주는 동안
왼쪽 위 어금니들의 신경치료를 마치고
크라운 수복을 진행할 수 있도록 하였습니다.

2026.01.27

2026.01.27
최종 보철물까지 문제 없이
마무리된 모습인데요.
환자분께서도 심미적으로 매우 만족하셨고
양쪽으로 식사가 가능하시다며 감사함을
전해주셨습니다.
또한, 시간이 없어서 치료를 잘 못받으셨는데
하루에 수술을 끝낼 수 있는 점이 너무
좋았다는 말씀을 해주셨습니다.
부평전체임플란트는 단순히 치아 개수를 채우는
치료가 아니라 교합 균형과 턱관절의 움직임까지
함께 고려해야 하는 만큼 환자의 구강 구조와
전신 건강 상태를 종합적으로 확인한 뒤
신중하게 진행하는 것을 추천드립니다.

2024.11.18

2026.01.27
부평전체임플란트 이후의 관리 또한
치료의 연장선에 해당합니다.
임플란트는 충치가 생기지는 않지만
잇몸 염증이나 주위 조직의 문제로
기능 저하가 발생할 수 있는데요.
따라서 정기적인 검진을 통해
교합 상태와 잇몸 변화를 확인하고,
보철물의 마모나 흔들림 여부를
점검하는 과정이 필요하며
올바른 칫솔질과 보조 구강위생용품 사용은
임플란트 주위 건강을 유지하는 데
중요한 역할을 합니다.
전체임플란트가 기능 회복을 위한
하나의 방법이 될 수 있지만
환자의 전신 건강 상태와 구강 위생 관리
수준에 따라 예후가 달라질 수 있습니다.
특히 치주 건강 관리가 선행되지 않을 경우
재수술 가능성도 배제할 수 없는 만큼,
조기 진단과 꾸준한 관리가 병행돼야 할 것입니다.
감사합니다!
*모든 증례 사진은 의료법 제23조, 제 56조에 의거하여 환자분의 동의 하에 업로드가 진행되었습니다.
*치료 사진은 모두 본원에서 치료한 환자분의 사진입니다.
*치료 사진은 모두 동일인의 사진이며, 동일조건에서 촬영하였습니다.
*개인의 차이에 따라 시술 및 수술 후 부작용이 발생할 수 있으며, 의료진과 충분한 상담을 받으시기 바랍니다.