부평역치과 전체임플란트로 건강한 치아 회복을 위해

치아의 상실은 심미성을 해칠 뿐만 아니라
구강과 신체적인 건강에도 악영향을 미치는데요.
치아 상실로 빈 공간을 방치하면
치열이 망가질 수 있고 벌어진 틈 사이로
음식물이 자주 끼어 잇몸이 붓고
통증도 심해질 수 있습니다.
또, 소화 장애, 영양 부족 등 각종 합병증을
유.발할 수 있어 주의가 필요하므로
치아 상실을 방치하지 말고
상태에 맞는 치료를 빠르게 받아주어야 합니다.

다양한 임플란트 종류 중 부평역치과
전체임플란트는
한 개를 식립하는 것과 달리
8~10개 임플란트를 식립하는 비교적
큰 범위의 수술인데요.
이는 자연치처럼 사용할 수 있어
일상생활에 많은 편리함을 가져다줍니다.
심미적 문제와 부정확한 발음,
저작력을 개선할 수 있으며
원활한 음식 섭취를 가능하게 하여
소화 기능을 회복할 수 있고
더불어 틀니와 달리 입천장이 덮이지 않아
이물감이 적고, 자연치와 유사한 저작력을
갖춘 점이 특징입니다.
이렇듯 장점이 많지만 개수가 많다 보니
난이도가 높아 숙련된 의료진의
신중한 접근이 필요합니다!

24.05.23
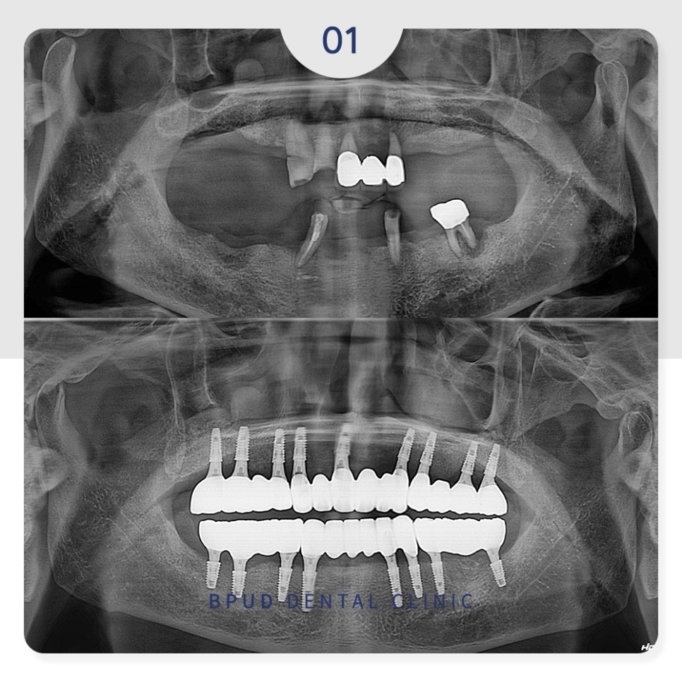
오늘은 남아 있는 치아가 거의 없어
위, 아래 전악 임플란트를 진행하신
환자분을 소개해 드리도록 하겠습니다.
환자분께서는 여러 군데의 치과에서
진단과 상담을 받아보았지만
여러 가지 이유로 진행하지 않고 계시다가
지인의 소개를 통해 부평역치과
전체임플란트 전문치과를 알아보시고
내원해 주셨습니다.
구강 내 치아가 거의 없어
식사도 잘 못하셔서 불편하시며
심미적으로 자존감도 많이 떨어져
있는 상태였는데요.
남아 있는 치아들도 예후가 좋지 않아
모두 발치한 후 부평역치과 전체임플란트를
진행하시기로 계획을 수립하였습니다.

24.06.08
가장 안쪽까지 완성하시길 희망하시며
비용은 줄일 수 있는 방법을
원하신다고 말씀해 주셨는데요.
자연치와 동일하게 위, 아래 각각 14개씩
28개 치아를 제작하기로 하고
양쪽 위쪽은 잇몸뼈가 부족한 부위
상악동을 들어 올려 치조골 이식을 진행하는
상악동거상술을 동반하여
임플란트는 각각 9개, 8개를 식립하였습니다.
하루에 위, 아래 모두 식립을 원하셨으나
환.자분의 연세를 고려하여 하루 간격으로
아래쪽도 잇몸뼈가 부족한 부분은
뼈이식을 동반한 식립을 진행하였습니다.

24.09.21
식립 후 임시 틀니를 제작해 드렸으며
아래쪽은 약 3개월 후
최종 보철물을 완성하였습니다.

25.01.16
위쪽은 난이도가 높은 상악동 거상술을
시행하였으므로 1개월 정도 더 기다려준 뒤
최종 보철까지 마무리하였습니다.
부평역치과 전체임플란트 치료 후
환자분께서는 자신감을 회복하셨고
식사도 잘하신다며 만족해하셨습니다!

25.01.16
부평역치과 전체임플란트를 할 경우
잇몸뼈가 흡수되는 것을 예방할 수 있지만
섬세한 치료가 이루어지지 않으면
보철물이 탈락하거나 주위염 등
각종 부작용이 나타날 수 있습니다.
이는 전체 치료 기간이 길어질 수 있으며
회복에도 일반적인 시술보다
더 많은 시간이 소요될 수도 있고
고령층이 대부분 받는
난이도 높은 방법으로 수술에 앞서
의료진의 노하우와 경력, 장비의 유무,
쾌적한 시설 등 여러 부분을
따져보는 것도 중요한데요.
따라서 의료진의 안내에 따라
치료를 진행하고 충분히 회복한 후
안정적인 상태에서 만족스러운 사용을
할 수 있도록 해야 합니다.
감사합니다!^^
*모든 증례 사진은 의료법 제23조, 제56조에 의거하여
환자분의 동의하에 업로드가 진행되었습니다.
*치료 사진은 모두 본원에서 치료한 환자분의 사진입니다.
*치료 사진은 모두 동일인의 사진이며,
동일 조건에서 촬영하였습니다.
*개인의 차이에 따라 시술 및 수술 후 부작용이 발생할 수 있으며,
의료진과 충분한 상담을 받으시기 바랍니다.