부평역임플란트 적절한 시기에 맞춰

치아의 건강은 노년층의 삶의 질을
결정짓는 중요한 요소임을
알고 계셨나요?
치아를 상실하면 음식 섭취와 발음에
어려움을 겪게 되고 심미적인 문제까지
발생하게 됩니다.
특히 무치악 상태에서는 전반적인 구강 기능이
약화되어 일상생활이 불편해지며
많은 환자분들이 틀니와 임플란트 사이에서
고민하게 됩니다.
틀니는 비용 부담이 적지만 착용감이 불편하고
저작력이 떨어지는 반면,
임플란트는 자연치에 가까운 기능을 제공하지만
높은 비용과 긴 치료 기간으로
최근 이러한 한계를 보완한
부평역임플란트 매직 4를 추천 드립니다.

최근에는 틀니와 임플란트의 장점을
결합한 매직4가 주목을 받고 있는데요.
이는 4개의 임플란트를 식립한 뒤
티타늄 연결체를 이용하여 틀니처럼 생긴
보철물을 고정하는 방식입니다.
해당 방식을 적용하면 전악 임플란트처럼
상하악 각각 8~10개의 임플란트를 심지 않아도 되며
보철 제작 과정 또한 단순화하여 효율적이고
치료 기간이 짧고, 저작기능도 80~90% 정도
수복 가능하다는 장점이 있습니다.
또한, 위생관리가 상대적으로 수월하고
틀니처럼 흔들리거나 탈부착의 불편함도 없어
많은 분들이 선택하고 계십니다.

2017.02.14
오늘은 임플란트 식립 후
오랜 시간이 지난 뒤, 심한 골소실로 인해
제거 후 재식립을 진행하신 부평역임플란트 환자분을
소개해 드리도록 하겠습니다.

2018.09.18
환자분께서 처음 내원해 주셨을 때,
구강 내 전반적으로 상실된 부위와
심하게 충치가 진행된 부위를 발치하고
전체적으로 임플란트 식립을 진행하였는데요.

2024.07.09
환자분의 사정상,
오랫동안 미루고 미루다 잇몸이 불편해져
약 6년 뒤 내원하셨을 때는
이미 양쪽 아래 어금니 부위와 앞니에
심한 골 소실이 진행되어 신경관까지의 거리가
3mm 정도 남아 제거가 필요한 상태였는데요.
따라서 전체적인 치주치료와
기존 임플란트 제거 후 재식립을 설명드렸습니다.

2024.08.07
하지만 또 방치를 하시다가
한 달 후에는 결국 임플란트와 보철이
통째로 빠지셔서 내원해 주셨는데요.
자녀분들과 함께 내원하셔서
전체적인 설명을 충분히 드리고
제거 후 재식립을 진행하기로 하였습니다.

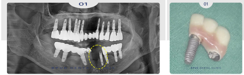
2024.08.12
수술 진행을 위해 잇몸을 열었을 때
잇몸에 완전히 묻혀 있어야 할
인공치근의 나사선들이 잇몸 위로
모두 드러나 있는 상태였습니다.
남겨서 사용할 수 있는 임플란트는
사용하기로 하셨지만 판단 결과
모두 다 제거하는 것이 맞다고 판단되어
식립 진행하였습니다.

2024.08.12
수직 골을 늘리는 증대술을 진행한 후,
시도하는 방법을 설명드렸으나
예후에 대한 명확성과 환자분의 나이 등
상태를 고려해 보았을 때
오래 걸리는 시술보다는 확실한 방법을
원하셨으며 전체 틀니는 희망하지 않으셔서
고정성 하이브리드 틀니인 매직 4로
진행하시기로 하였는데요.
신경관 앞쪽으로 4개의 임플란트를 식립하여
기존의 틀니와는 다르며 훨씬 심미적이고
단단한 지르코니아 틀니입니다.

2024.12.02
중간 과정에서는 불편함이 없도록
임시 틀니를 사용하실 수 있도록 하였습니다.

2024.12.10
이어 3개월 후, 최종 보철을 위한
모델 디자인 작업 이미지입니다.
진행 과정은 구강 스캐너를 통해
개개인의 잇몸뼈 상태, 위아래 턱의
수평적 관계 등을 명확하게 파악한 뒤,
치료 계획을 수립합니다.
이후 임플란트를 심고 임시 보철을 장착하며
마지막으로 최종 보철물이 완성되어 장착하면
치료가 마무리됩니다.

2025.01.07
최종 보철물까지 완료한 모습입니다.
환자분의 관리 소홀로 더 이상 식립이
어렵다고 판단되어질 정도로 치조골이
심하게 소실된 상황이었지만
여러 가지 치료 옵션을 제시해 드리고
그중 환자분의 요구에 가장 적합한
방법을 선택하여 진행하였으므로
임플란트를 더 이상 식립하지 못하고
이대로 틀니를 해야 하나 걱정하셨던
환자분께서도 모든 것이 잘 해결되어
만족해하셨습니다.

추천 드리는 매직 4 부평역임플란트는
식립해야 하는 개수가 적은 만큼
수술, 출혈에 대한 부담이 적고
지르코니아를 사용하여 파절 위험이 적고
치태가 잘 끼지 않아 위생적으로 관리가
상대적으로 쉬운 장점을 가지고 있습니다.
가능하면 자연치를 아껴서 오래 쓰는 것이
가장 좋지만 무치악이 불가피할 때가 올 수 있습니다.
이럴 때에는 발치에 대한 두려움으로
상태를 더욱 악화시키지 말고
부평역임플란트 잘하는 곳 부평유디치과에 내원하여
전신질환의 유무와 나이, 잇몸뼈와 교합 상태,
치료 예후 등을 고려해 가장 적합한
대체재를 선택하는 것이 바람직합니다.
*모든 증례 사진은 의료법 제23조, 제56조에 의거하여
환자분의 동의하에 업로드가 진행되었습니다.
*치료 사진은 모두 본원에서 치료한 환자분의 사진입니다.
*치료 사진은 모두 동일인의 사진이며,
동일 조건에서 촬영하였습니다.
*개인의 차이에 따라 시술 및 수술 후 부작용이 발생할 수 있으며,
의료진과 충분한 상담을 받으시기 바랍니다.
부평역임플란트