부평역치과 난이도가 높은 케이스도 문제없이

노화 또는 사고 등으로 다수의 치아를

상실한 경우에는 적절한 치료를 통해

저작 기능과 심미성을 회복하는 것이 중요합니다.

과거에는 틀니를 선택하는 경우가 많았지만

최근에는 임플란트 기술이 발전하면서

부평역치과 전체임플란트가

대안으로 주목받고 있는데요.

틀니는 잇몸에 지지해 고정하는 방식으로

경제적이고 시술이 간편하다는 장점이 있으나

저작력이 약하고 잇몸 눌림으로 인한

통증이나 불편함이 발생할 수 있고

시간이 지나면 잇몸뼈가 퇴축하면서

틀니의 안정성이 떨어지는 문제도 있습니다.

 

반면 임플란트는 치조골에 인공치근을

심어 자연치와 유사한 기능과 심미성을

제공해 주는데요.

특히 전체 임플란트는 다수의 치아가

상실된 경우에도 튼튼한 고정력과

뛰어난 저작력을 제공하며

이는 위아래 턱뼈에 각각 6~10개의

인공치근을 식립하여 상부 보철을 고정하는

방식으로 진행됩니다.

다만 의료진의 실력과 노하우에 따라

결과가 달라질 수 있는 만큼

치과를 선택하기 전 충분한 상담과

계획을 통해 현명하고 성공적인 결과를

얻을 수 있도록 하는 것이 좋습니다.

 

21.12.16

 

오늘은 부평역치과 전체 임플란트 수복을

진행하신 환자분을 소개해 드리려고 합니다.

환자분께서는 기존 타 치과에서

전체 임플란트가 어렵다는 말씀을 들으시고

앞니 쪽에 두 개의 임플란트를 심어

그 위에 틀니를 장착하는 방법인 오버덴쳐를

사용하고 계셨지만 최근 임플란트 부위에

통증이 느껴지고 틀니가 맞지 않아

상담을 위해 지인분께 추천을 받아

내원해 주셨는데요.

아래 앞니도 상실하였고 어금니도

흔들리는 상태에서 틀니는 너무 불편하시다며

임플란트로 치료를 희망하셨습니다.

 

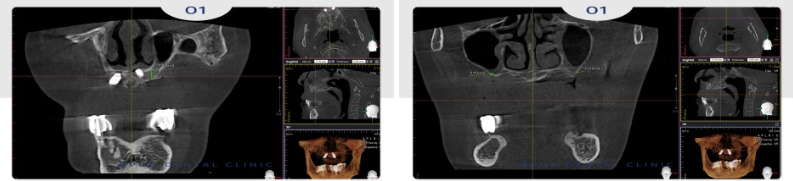
21.12.16

좀 더 정밀한 진단을 위해 3D CT

촬영을 진행하였는데요.

기존 앞니 쪽에 심어져 있는 임플란트 중

하나는 흔들림이 관찰되어 제거를 결정하였고

한 개는 큰 문제가 없어 보이나

사용하기에는 어려움이 있으며

제거 시 치조골 흡수가 일어날 수 있어

잇몸에 묻어두기로 하였습니다.

앞니와 어금니 모두 잇몸뼈가

심하게 흡수되어 1mm도 남지 않아

상악동 거상술과 치조골 이식을 함께

시행하기로 하였습니다.

 

​22.04.09

아래쪽은 흔들림이 심했던 치아들을

발치하고 살릴 수 있는 치아들은 살린 뒤

어금니 부위를 연결한 캔틸레버 브릿지

형태로 마무리를 하였는데요.

아래쪽의 경우에는 발치 후 즉시 식립

진행 후 위쪽 임플란트를 제거하고

뼈이식을 동시에 시행하였습니다.

 

22.09.19

약 4~5개월 후 위쪽 임플란트도

식립을 진행하였습니다.

 

24.07.01

식립 4-5개월 후 최종 보철까지

완성하였는데요.

부평역치과 임플란트 수술 후

임시틀니를 장착해 드려

큰 문제 없이 마무리할 수 있었습니다.

전치부의 잇몸뼈까지 심하게 흡수된

경우라면 많은 치과에서 틀니를 권유 드리지만

전반적인 잇몸뼈 흡수로 인해

틀니의 유지와 고정력이 약해

큰 불편함으로 찾아오시는 분들이 많습니다.

 

24.11.21

부평유디에서는 난이도가 높은 케이스임에도

뼈이식을 동반한 전체 임플란트 식립으로

전체 수복을 완료하였습니다.

기존 임플란트 2개 식립 시에도

비싼 비용으로 진행을 하였지만

편하지 않아 얼마 사용하지 못하고

제거를 해야 한다고 해서 속상하셨지만

지금은 너무 편안하게 만족하신다고 하셨습니다.

전체 임플란트는 난이도가 높은 시술로

환자의 잇몸뼈 상태, 전신질환 여부, 나이 등을

면밀히 검토한 후 진행하여야 하며

 

경험이 풍부한 의료진과의 상담을 통해

맞춤형 계획을 수립하는 것이 필수적인데요.

따라서 적절한 시기를 놓치지 말고

의료진의 실력과 기술력, 디지털 장비를

갖추고 있는 부평역치과 임플란트추천드립니다!

감사합니다~

 

*모든 증례 사진은 의료법 제23조, 제56조에 의거하여

환자분의 동의하에 업로드가 진행되었습니다.

*치료 사진은 모두 본원에서 치료한 환자분의 사진입니다.

*치료 사진은 모두 동일인의 사진이며,

동일 조건에서 촬영하였습니다.

*개인의 차이에 따라 시술 및 수술 후 부작용이 발생할 수 있으며,

의료진과 충분한 상담을 받으시기 바랍니다.

 

부평유디치과 네이버 바로가기

문의 전화

032-502-2822

네이버 예약

네이버 예약