부평동치과 사랑니 문제없이 발치 가능한 곳은

사랑니는 보통 위, 아래 양쪽
어금니 맨 안쪽으로
4개의 치아가 맹출 됩니다.
가장 늦게 나오는 어금니로
10대 후반에서 20대 초중반 즈음 나오며
사람에 따라 하나도 자라지 않거나
한두 개만 자라기도 하고, 4개 모두 자라는 등
다양한 양상을 띄고 있는데요.
어금니의 맨 안쪽에서 나오다 보니
턱뼈가 작으면 뼈에 걸려서 누워서 나오거나
다 나오지 못하고 뼈에 묻힌 상태로
있는 경우도 적지 않습니다.
하지만 매복되어 있는 사랑니는
여러 가지 구강 문제를 일으킬 수 있어
발치가 필요한데요.

정상적으로 맹출 된 경우를 제외하고
대부분은 발치하는 것이 권장되며
특히 누워서 자라 옆에 있는 어금니를
손상시킨다면 꼭 발치하는 것이 좋습니다.
또한, 치아 전체 배열에 악영향을 미쳐
치열을 뒤틀리게 하는 경우, 턱뼈 안에서
낭종을 형성하는 경우에도 뽑아주어야 하는데요.
양치질을 깨끗하게 하기도 어렵고
관리에 어려움이 있어 충치나 잇몸질환 등으로
주변 치아에 영향을 준다면 더더욱
신속하게 선택해 주어야 합니다.
하지만 난이도가 높아 환자분의 상태에
맞는 적절한 시술 계획을 수립하고
이를 토대로 진행하는 것이 가장 중요합니다.

23.04.05
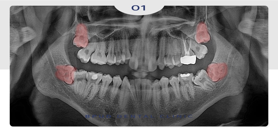
오늘은 양쪽에 매복되어 있는
사랑니 4개 모두 발치를 진행하신
부평동치과 환자분을
소개해 드리려고 합니다.
환자분께서는 시간이 없어서
양쪽의 사랑니를 동시에 발치하시기를
원하신다며 부평동치과 부평유디치과에
내원해 주셨습니다.

23.05.31
악궁이 작아서 치아 교정을 진행 중이신
상태로 사랑니 또한 완전히 매복되어 있었고
앞쪽 치아에 걸려 난이도가
매우 높은 케이스였는데요.

24.12.03
완전 매복 고난이도 사랑니로
신경에 완전히 닿아 있어 신경 손상의
위험이 높은 케이스였으나 문제없이
발치 계획을 수립하였습니다.

24.12.03
이처럼 정상적인 발치를 할 수 없는
위치에 치아가 있는 경우 발치 시
어려움이 있기 때문에
3D CT 촬영을 통해 정밀한 진단을
바탕으로 치아 상태를 입체적으로 파악하여
계획을 세워야 부작용의 위험을 줄일 수 있습니다.

24.12.03
양쪽의 사랑니를 모두 쪼개어
발치를 한 모습입니다.

24.12.03
사랑니를 안정적으로 발치했다면
주의해야 할 사항들이 있습니다.
발치를 한 뒤 거즈를 물고 2시간 정도
있어야 하고, 피가 나거나 침이 고이는 경우
이를 뱉기보다는 삼키는 것이 좋습니다.
침을 뱉는 행동은 음압을 높여
절개 부위가 회복되는 것을 방해하며
양치질을 할 경우 발치 부위에
칫솔이 닿지 않도록 하고 식염수나 가글 용액을
이용해 헹구어 주는 것이 좋습니다.

24.12.03
환자분께서는 대학병원에 굳이 가지 않고도
주변 부평동치과에서
어려운 사랑니를 뽑을 수 있다는 것에
만족도가 높으셨고, 양쪽을 함께 발치해서
시간도 절약할 수 있어 좋았다고 말씀해 주셨습니다.
더불어 큰 통증이나 불편감이 없으셨다며
감사의 인사를 전해주셨습니다.
매복되어 있는 사랑니를 발치한 경우
붓기가 있을 수 있으며 이때에는
냉찜질을 하여 관리해 주는 것이 좋은데요.
발치 후 일주일 정도는 술과 담배를
피하고, 과도한 운동이나 목욕, 사우나도
피해주셔야 합니다.

사랑니 발치는 간단해 보일 수 있지만
신경에 많은 영향을 주는 난이도가 높은
시술 중 하나인데요.
부평동치과 부평유디치과는
환자의 상태에 맞는 적절한 계획을
수립하고 이를 토대로 치료를 진행하며
발치 경험이 풍부하고 필요한 장비를
제대로 갖춘 곳에서 진행하는 것이 좋습니다.
당장 통증이 나타나지 않는다고 해도
치아 및 구강 상태에 추후 영향을
미칠 수 있으므로 정기검진을 통해
상태를 확인해 주시는 것을 권장 드립니다!
*모든 증례 사진은 의료법 제23조, 제56조에 의거하여
환자분의 동의하에 업로드가 진행되었습니다.
*치료 사진은 모두 본원에서 치료한 환자분의 사진입니다.
*치료 사진은 모두 동일인의 사진이며,
동일 조건에서 촬영하였습니다.
*개인의 차이에 따라 시술 및 수술 후 부작용이 발생할 수 있으며,
의료진과 충분한 상담을 받으시기 바랍니다.