부평동임플란트 외상으로 부러지고 빠진 앞니 회복
치아 상실은 어느 부위에서 발생하더라도
기능적 불편함과 심리적 위축을 초래하지만
특히 앞니의 경우 심미적인 영향이 크기 때문에
치료 결정에 신중함이 요구됩니다.
일반적으로 앞니 부위의 손상이나 발치는
사고, 충격, 외상 등으로 갑작스럽게 발생하는
경우가 많으며 조속한 복원과 동시에
자연스러운 외형을 유지하는 것이 핵심인데요.
이때 고려할 수 있는 대표적인 치료 방법이
부평동임플란트로 앞니는 대화를 하거나 웃을때
가장 먼저 노출되는 부위이므로 치아의 형태, 위치,
색상, 잇몸의 높낮이 등 세밀한 요소들이 조화를 이뤄야만
자연스러운 결과를 얻을 수 있습니다.
이는 일반적인 방법과 달리, 앞니 부위는 뼈가 얇고
해부학적으로 민감한 구조를 지니고 있어
식립 각도, 깊이, 보철물 디자인 등에서 더욱 높은
정밀도가 요구됩니다.

2025.01.04
오늘은 외상으로 인해 앞니가 빠지고
부러져 임플란트와 신경치료 등
치료를 진행하신 환자분을 소개해 드리려고 합니다.
환자분께서는 갑작스러운 외상으로
앛니가 빠지고 부러진 상태로 걱정이 많은
상황이라고 말씀해 주셨는데요.
내원 전날 넘어지셔서 치아가 부러진 것을
확인하고 응급실에 내원하여 응급처치로
철사로 제작된 스프린트를 장착하고 계신 상태였습니다.

2025.02.04
오른쪽 앞니는 완전히 빠진 상태였고
옆쪽 치아는 치근만 남아 있는 상태,
응급실에서 스프린트를 처치 받았으나
양쪽 옆 치아들도 동요도가 보이는 상태로
외상 후 최소 2주간은 스프린트를 유지해야함을
설명드리고 이후 내원할 수 있도록 안내드렸습니다.
따라서 1달 뒤, 내원하셨을 때 와이어를 제거한 후
확인해보니 처음에 흔들림이 느껴지던 양쪽 치아도
충혈된 상태로 동요도가 심해져 발치 후
양쪽에 임플란트를 식립하여 4개의 보철을 연결하는
브릿지 방식으로 수복하기로 하였습니다.

2025.02.04
수술 진행 당일, 처음부터 완전히 빠졌던
앞니 부위 치조골 골절이 관찰되어 골이식술을
힘께 진행하였으며 이외 양쪽 송곳니와 작은 어금니에도
충치가 관찰되어 레진치료와 신경치료 후 크라운 수복까지
진행을 하기로 하였습니다.

2025.02.04
임플란트 식립 당일의 모습입니다.
앞니는 치조골이 얇고 경사도가 있다 본니
부평동임플란트 시술 자체가 까다로운데요.
주변 치아 구조에 맞춰 각도와 위치를
섬세하게 조정해야 하며, 외관 상 자연스럽게
보여야 하므로 보철도 정교하게 제작해야 합니다.

2025.05.15
약 3개월 간의 기간동안 잇몸뼈와 임플란트가
충분히 융합될 수 있도록 기다려 주었습니다.
앞니 부위의 특성 상 조금만 잘못되어도
완성도가 떨어지고 부자연스럽게 보일 수 있어
숙련된 부평유디치과의 의료진과 충분히 논의한 후
시술해야 합니다.
3D 디지털 기기로 구강 내부를 면밀히 살피고
식립 부위의 특징을 꼼꼼히 확인한 후 인공치근을
정교하게 식립해야 합니다.

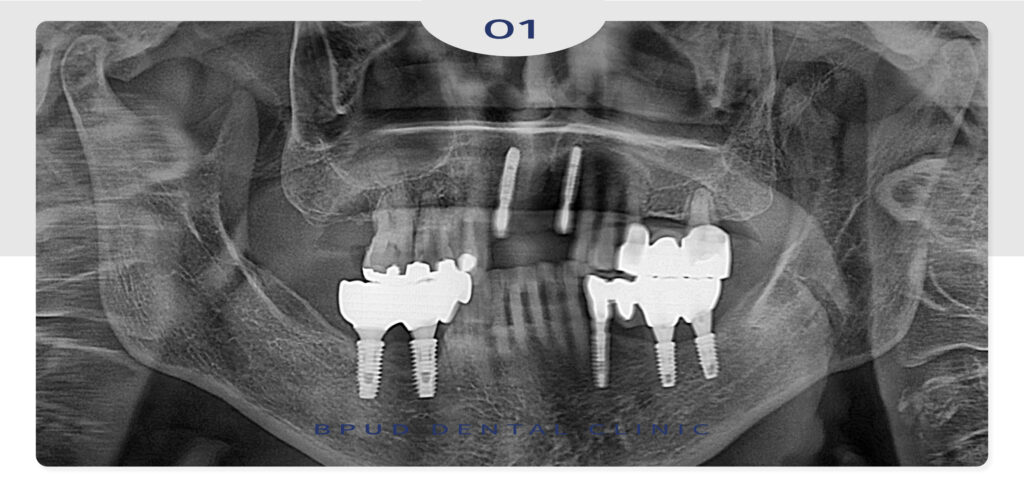
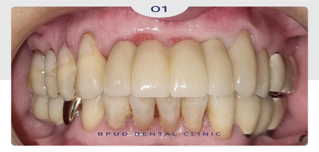
2025.06.13
이어서 최종 보철물까지 완료한 모습입니다.
환자분께서도 손상된 치아 뿐만 아니라
기존의 치아까지 치료를 받아 전체적으로
심미적으로 바뀌었다며 매우 만족해 하셨습니다.
앞니는 저작력보다 심미성과 발음, 표현력에
영향을 많이 주는 부위이므로 강한 지지력을
확보하면서도 최대한 자연치와 유사한 형태와
색감을 구현해야 하는데요.
이를 위해서는 치조골 상태, 치열 구조,
미세 잇몸 라인 등을 정밀하게 분석하고
이를 기반으로 식립 위치와 보철물 형태를
맞춤 설계 해야 합니다.

2025.02.04

2025.06.13
앞니 부위 부평동임플란트를 진행할 때는
환자분의 연령, 잇몸 건강, 치조골의 상태에 따라
즉시 식립이 가능한 경우와 사전 뼈이식 및
잇몸 이식이 필요한 경우로 나뉘는데요.
이는 반드시 사전 평가가 이루어져야 하며
무엇보다 앞니 임플란트는 일반적인 저작 중심의
치료와 달리 정교한 감각과 디자인 감각이 요구되기
때문에 다양한 임상 경험과 해부학적 지식을 갖춘
의료진과의 상담을 통해 진행되어야 합니다.
단순히 치아를 다시 세우는 것이 아닌
본래의 조화로운 인상과 일상 회복을 위한
전략적 접근이 필요할 것입니다.
감사합니다.
*모든 증례 사진은 의료법 제23조, 제 56조에 의거하여 환자분의 동의 하에 업로드가 진행되었습니다.
*치료 사진은 모두 본원에서 치료한 환자분의 사진입니다.
*치료 사진은 모두 동일인의 사진이며, 동일조건에서 촬영하였습니다.
*개인의 차이에 따라 시술 및 수술 후 부작용이 발생할 수 있으며, 의료진과 충분한 상담을 받으시기 바랍니다.